Laboratorio Dental Cancún
FIT Dental Lab Trabaja Contigo para Entrar en la Era de la Odontología Digital
FIT Dental Lab
Laboratorio Dental Cancún
Laboratorio Dental en Cancún que te permite renovar tu práctica clínica y entrar a la era de la a odontología digital.
FitDental LAB trabaja contigo para lograr grandes resultados para tus pacientes.
Ubicados Cerca de Ti
Ubicación céntrica y facilidades para hacer envíos y recibir casos
Técnicos Dentales Experimentados
Nuestro equipo tiene mas de 10 años de experiencia con casos de alta estética dental
Nuevo Caso para Laboratorio Dental
Descarga aqui los lineamientos necesarios para recibir los casos de tus pacientes.
- ¿Tienes dudas?
(998) 114 3738
Requisitos del Trabajo
- Todos los trabajos a realizarse deberán contar con el 50% de anticipo, de lo contrario no se dará fecha de recibido.
- La orden de trabajo debe incluir detalladamente las características del trabajo, color, material a utilizar, enviar fotografía. En caso de que el trabajo se detenga por la falta de datos se adicionarán los días perdidos por la situación
- El trabajo debe liquidarse al momento de su entrega. No después.
- Para la elaboración de su trabajo es necesario un tiempo razonable contando únicamente días hábiles. 10 días hábiles.
- Para poder otorgar una fecha de entrega, es necesario revisar que las impresiones y/o modelos de trabajo estén en buen estado.
- Los modelos de trabajo deberán de ser de arcada completa, sin importar que sean restauraciones pequeñas como incrustaciones o coronas individuales.
- Trabajos completamente libres de metal y aquellos donde se haya indicado la elaboración de modelos Géller, es indispensable enviar la cucharilla de trabajo, de caso contrario no se podrá comenzar la elaboración del trabajo.
Garantías
- Pierde la garantía aquellos trabajos que por falta de una correcta manipulación en el consultorio sufren fracturas o en su defecto la pérdida total de la restauración
- No se extiende garantía sobre trabajos que estando bien ajustados sobre el modelo de trabajo, no ajusten correctamente en boca, ya que esto se debe a distorsiones sobre el modelo de trabajo
Comunicación
- En caso de alguna inconformidad con los servicios de laboratorio dental, le recomendamos que se comunique directamente con el personal a cargo del laboratorio para resolver cualquier problema con su caso
- De la manera más atenta, se le solicita respeto al momento de dirigirse hacia los trabajadores del laboratorio, ya que no se tolerarán conductas inadecuadas del doctor hacia el laboratorista ni viceversa
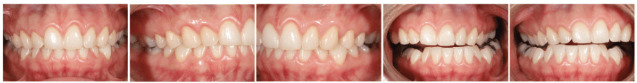
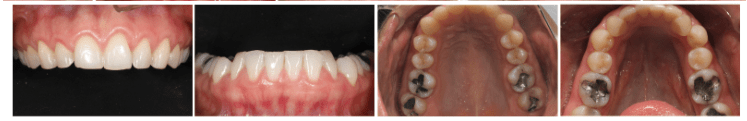
Protocolo de Fotografía para Laboratorio Dental
Sobre FIT Dental Lab Cancun
Laboratorio Dental Moderno y de la Mas Alta Calidad
Prótesis de Calidad
Trabajamos con materiales de IVOCLAR, fresamos en ROLAND, imprimimos en nuestra 3D Printer Stratasys, y procesamos en hornos de IVOCLAR Y NABERTHERM
Diseño Digital
Aseguramos un mejor ajuste de tus restauraciones al realizar el diseño vía digital, reduciendo el margen de error.
CAD/CAM
Tenemos un equipo especializado en odontología de la nueva era: Diseño digital con CAD/CAM.
Escaneo Digital
Si tienes tu scanner intraoral, olvídate del silicón, impresión y yesos; puedes enviarnos tu escaneo para la manufactura de tus restauraciones .
Materiales de Alta Gama
Para garantizar un mejor resultado manejamos materiales como Zirconia, Disilicato de Litio entre otros
01.
Diseño Digital de Sonrisa
Con los mejores softwares
- E max
- 3D shape
- ExoCad
02.
Carillas
- E Max
- E max CAD
03.
Coronas Monolíticas
- E max ZIR CAD PRIME
- E max
- E max CAD
04.
Corona Cut Back
- Emax Press
- Emax Ceram
05.
Corona Sobre Implante
- NEODENT
- STRAUMANN
- MULTI UNIT
- NOBEL BIOCARE
06.
Estructuras
- Prettau Zirconia
- Fixed hibrid Denture
07.
Prototipos
- IMPRESIONES 3D
- Formlabs 3B
- Llámanos
(998) 114 3738
Trabajamos únicamente con las mejores marcas del mercado para garantizar un mejor resultado
La Misión de nuestro Laboratorio Dental en Cancún
En FIT Dental Lab Ofrecemos:
Brindar prótesis fija para doctores que buscan un acabado natural y de alta calidad. Nu estros diseños se realizan con tecnología de punta y con base digital, para garantizar un sellado más preciso y una anatomía adecuada a las necesidades del paciente.
Trabaja en nuestro Laboratorio Dental
Consulta nuestra bolsa de trabajo
- ¡Llámanos!
(998) 114 3738
Laboratorio Dental de Última Tecnología en Cancún
Nuestros dentistas con experiencia internacional pueden orientarte para darle el mejor tratamiento a tus pacientes.
Contáctanos
Solicita más información sobre cómo obtener los productos de más alta calidad en nuestro laboratorio dental en Qro. Llena el formulario y te contactaremos a la brevedad posible.
Dirección
Av Bonampak SM3 MZ 8
Plaza Via Primer Piso Cancún Q. Roo
Teléfono
(998) 114 3738
fitdentallabdds@gmail.com
